We're loading the full news article for you. This includes the article content, images, author information, and related articles.
New Cambridge research links menopause to grey matter loss, explaining why women are at higher risk of Alzheimer’s and highlighting a looming crisis for Kenya’s aging population.

A groundbreaking study has confirmed what neuroscientists have long suspected: Menopause is not just a reproductive transition; it is a neurological event that may trigger the onset of Alzheimer’s disease.
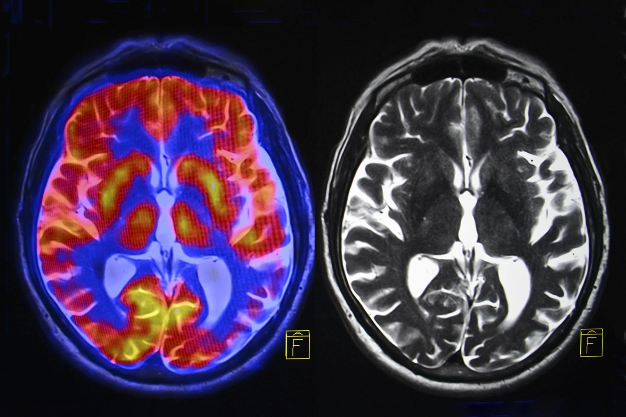
Research from the University of Cambridge, led by Professor Barbara Sahakian, reveals that the drop in oestrogen during menopause causes a direct loss of grey matter in brain regions critical for memory and emotion. This finding sheds light on a grim statistic: women account for nearly two-thirds of all dementia cases globally. In East Africa, where dementia prevalence among those over 60 is estimated at 4.2%, this link signals a looming public health crisis as life expectancy rises.
The study utilized advanced brain scans to observe the "energy crisis" that occurs in the female brain during midlife. As oestrogen levels crash, the brain is deprived of a key neuroprotective element, leading to inflammation and the accumulation of amyloid plaques—the hallmarks of Alzheimer's.
"Menopause could make these women vulnerable further down the line," Professor Sahakian warned. "It helps explain why we see almost twice as many cases of dementia in women than in men."
For the Kenyan medical fraternity, this research is a wake-up call to look beyond the reproductive symptoms of menopause. It necessitates a holistic approach that includes cognitive screening for women in their 50s. As the population ages, understanding the "silent thief" of memory is no longer an academic exercise—it is a necessity for dignity in old age.
Keep the conversation in one place—threads here stay linked to the story and in the forums.
Sign in to start a discussion
Start a conversation about this story and keep it linked here.
Other hot threads
E-sports and Gaming Community in Kenya
Active 9 months ago
The Role of Technology in Modern Agriculture (AgriTech)
Active 9 months ago
Popular Recreational Activities Across Counties
Active 9 months ago
Investing in Youth Sports Development Programs
Active 9 months ago